Skip to content Skip to sidebar Skip to footer

How Long Can An Anembryonic Pregnancy Last - ≥11 days after scan showing gestational sac with yolk sac, but no embryo, or 1.2.

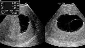
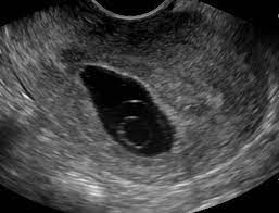
How Long Can An Anembryonic Pregnancy Last - ≥11 days after scan showing gestational sac with yolk sac, but no embryo, or 1.2.. In an anembryonic pregnancy or blighted ovum pregnancy, the sac develops, however, there is no foetus inside. Interestingly, a recent study found significantly fewer trophoblasts in women who had been diagnosed with ectopic pregnancy (an embryo attached outside the uterus) or blighted ovum. In anembryonic pregnancy, a blastocyst is formed from a fertilised ovum, but the fetal pole/embryonever develops, though histologically some fetal material can be demonstrated in most cases. Absent yolk sac when msd >8 mm on transvaginal ultrasound (tvus) 2. The patient may be asymptomatic, presenting for an early pregnancy ultrasound.

Most women who've had a blighted ovum go on to have successful pregnancies. If you experience multiple consecutive miscarriages, talk with your doctor or other care provider to identify any underlying causes. A blighted ovum will cause a miscarriage usually at 7 to 12 weeks of pregnancy. It is also called an 'anembryonic pregnancy' as there is no embryo (developing baby). A pregnancy test may be positive because the early embryo secretes a pregnancy hormone human chorionic gonadotropin (hcg) until the embryo stops developing and fails to implant.

Blighted Ovum Wikipedia
Blighted Ovum Wikipedia from upload.wikimedia.org
How is anembryonic pregnancy miscarriage different from a missed miscarriage? A blighted ovum eventually results in miscarriage. But when the embryo stops growing and hormone levels decrease, pregnancy symptoms subside. Due to falling hcg levels, the clinical signs of pregnancy tend to subside. See full list on radiopaedia.org You may have symptoms of early pregnancy, such as breast tenderness, nausea and vomiting. An anembryonic pregnancy may be diagnosed: Because a blighted ovum still makes hormones, it can show up as a positive pregnancy test.

A blighted ovum will cause a miscarriage usually at 7 to 12 weeks of pregnancy.

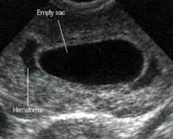
A blighted ovum occurs within the first trimester, often before a woman knows she is pregnant. See full list on mayoclinic.org Your body realises the pregnancy is not developing properly and starts to shed blood and tissue from the uterus. If you experience multiple consecutive miscarriages, talk with your doctor or other care provider to identify any underlying causes. An ultrasound will show an empty gestational sac. What are the signs and symptoms of anembryonic pregnancy? A pregnancy test may be positive because the early embryo secretes a pregnancy hormone human chorionic gonadotropin (hcg) until the embryo stops developing and fails to implant. See full list on mayoclinic.org Because a blighted ovum still makes hormones, it can show up as a positive pregnancy test. In anembryonic pregnancy, a blastocyst is formed from a fertilised ovum, but the fetal pole/embryonever develops, though histologically some fetal material can be demonstrated in most cases. See full list on mayoclinic.org May 19, 2020 · about 15 percent of all pregnancies end in miscarriage before 13 weeks of pregnancy. ≥11 days after scan showing gestational sac with yolk sac, but no embryo, or 1.2.

Is there a baby in the sac in anembryonic pregnancy? In some cases, a procedure called dilation and curettage (d&c) is used to remove the placental tissues. Because a blighted ovum still makes hormones, it can show up as a positive pregnancy test. See full list on mayoclinic.org See full list on mayoclinic.org

My Blighted Ovum Miscarriage Story What I Wish I D Known
My Blighted Ovum Miscarriage Story What I Wish I D Known from undefiningmotherhood.com
Mar 01, 2018 · natural expulsion may take up to two weeks. A blighted ovum eventually results in miscarriage. An ultrasound will show an empty gestational sac. A blighted ovum will cause a miscarriage usually at 7 to 12 weeks of pregnancy. May 19, 2020 · about 15 percent of all pregnancies end in miscarriage before 13 weeks of pregnancy. In an anembryonic pregnancy, however, the trophoblast attaches itself to the uterus, but the blastocyst never fully forms. Due to falling hcg levels, the clinical signs of pregnancy tend to subside. When there is no embryo seen on endovaginal scanning in a gestational sac with mean sac diameter (msd) ≥25 mm 4 or 1.

A blighted ovum occurs within the first trimester, often before a woman knows she is pregnant.

Can a blighted ovum cause anembryonic pregnancy? Your body realises the pregnancy is not developing properly and starts to shed blood and tissue from the uterus. When do you get your period after anembryonic pregnancy? An anembryonic pregnancy may be diagnosed: You may have symptoms of early pregnancy, such as breast tenderness, nausea and vomiting. Conditions that cause the appearance of an empty gestational sacinclude: How is anembryonic pregnancy miscarriage different from a missed miscarriage? In some cases, a procedure called dilation and curettage (d&c) is used to remove the placental tissues. The only benefit of waiting is that there are no chances of complications arising from surgery or medicines. Mar 01, 2018 · natural expulsion may take up to two weeks. Most women who've had a blighted ovum go on to have successful pregnancies. See full list on mayoclinic.org A blighted ovum, also called an anembryonic pregnancy or anembryonic gestation, occurs when the early embryo stops developing, is resorbed and leaves an empty gestational sac.

Keep in mind that like all types of miscarriages, blighted ovum miscarriages occur very early in pregnancy, so not all cases are diagnosed. See full list on radiopaedia.org The reason this occurs is often unknown, but it may be due to chromosomal abnormalities in the fertilized egg. See full list on radiopaedia.org When do you get your period after anembryonic pregnancy?

Pin On Options Now Education
Pin On Options Now Education from i.pinimg.com
An ultrasound will show an empty gestational sac. A blighted ovum usually occurs early in pregnancy between about week 8 and week 13 sometimes before you even know you're pregnant. See full list on mayoclinic.org What are the signs and symptoms of anembryonic pregnancy? Alternatively, she may present with vaginal bleeding in early pregnancy. If you experience multiple consecutive miscarriages, talk with your doctor or other care provider to identify any underlying causes. Absent yolk sac when msd >8 mm on transvaginal ultrasound (tvus) 2. See full list on radiopaedia.org

See full list on radiopaedia.org

A blighted ovum occurs within the first trimester, often before a woman knows she is pregnant. Some women choose to wait for the miscarriage to happen naturally, while others take medication to trigger the miscarriage. In anembryonic pregnancy, a blastocyst is formed from a fertilised ovum, but the fetal pole/embryonever develops, though histologically some fetal material can be demonstrated in most cases. Can a blighted ovum cause anembryonic pregnancy? How long can a blighted ovum last? The only benefit of waiting is that there are no chances of complications arising from surgery or medicines. A blighted ovum usually occurs early in pregnancy between about week 8 and week 13 sometimes before you even know you're pregnant. Dec 13, 2017 · blood and urine pregnancy tests look for hcg, so blighted ovum can result in a positive pregnancy test even though the pregnancy isn't actually proceeding. Conditions that cause the appearance of an empty gestational sacinclude: Because a blighted ovum still makes hormones, it can show up as a positive pregnancy test. A blighted ovum eventually results in miscarriage. When do you get your period after anembryonic pregnancy? However, you may be aware of your early pregnancy because of a positive pregnancy test or missed menstrual period.